La fracture du col fémur est l’une des fractures les plus fréquentes en traumatologie. Chaque année le plus souvent à l’occasion d’une simple chute, plus de 80 000 personnes, dont une majorité de personnes âgées de plus de 70 ans, principalement des femmes, en sont victimes. Le traitement de ces fractures est chirurgical dans la quasi totalité des cas.

Le col du fémur : une structure osseuse très sollicitée lors de la marche :

Le fémur forme le squelette de la cuisse ; son extrémité supérieure -la tête du fémur- s’articule avec le bassin. Celle-ci est reliée au corps du fémur -ou diaphyse- par le col du fémur. Celui-ci est en forme d’arc boutant très solide mais travaille en porte à faux et supporte tout le poids du corps en station debout, à la marche et dans tous les actes effectués en appui sur le membre inférieur.

Hanche normale

Image
hanche normale
Image
hanche normale

Les travées osseuses qui font la solidité du col fémoral

Le risque de fracture augmente avec l’âge

Extrêmement rare chez les enfants, la fracture du col du fémur peut en revanche toucher les adultes quel que soit leur âge, à la suite d’un accident violent (deux roues, voiture, sport…).

Les patients le plus souvent victimes de ces fractures sont les personnes âgées (20  à 30 fois plus que les adultes jeunes).

Avec les années, le col du fémur, le plus souvent très solide jusqu’à 50-60 ans, se fragilise à cause de la survenue de l’ostéoporose qui diminue la densité osseuse. Il s’agit d’une déminéralisation, (ou décalcification) des os qui leur font perdre une part de leur solidité mécanique. Cette affection touche principalement les femmes à partir de la ménopause pour des raisons hormonales, mais elle peut être due à certains traitements (la cortisone par exemple). Elle est aggravée par la sédentarité. Elle s’aggrave avec l’âge, augmentant d’autant plus le risque de diverses fractures (poignet, épaule, colonne vertébrale...), en cas de chute ou de traumatisme. Les hommes peuvent en être aussi atteints, plus tardivement et de façon moindre. Statistiquement, les fractures du col du fémur sont deux fois plus fréquentes chez les femmes que chez les hommes.

Deux types de fractures

Il existe deux types principaux de fractures du col du fémur selon leur localisation :

  • les fractures dites « cervicales vraies » qui touchent le col lui-même (1/3 des fractures)
Image
fracture hanche cervicale vraie
Image
fracture hanche cervicale
  •  les fractures du massif trochantérien, situé à la jonction entre le col et la diaphyse au niveau  du  grand trochanter et du petit trochanter, deux protubérances sur lesquelles s’insèrent de nombreux muscles de la région de la hanche (2/3 des fractures).

Le massif trochantérien

Image
massif trochantérien

Les fractures du massif trochantérien

Image
fractures massif trochantèrien

Des chutes aux multiples causes

Chez les personnes âgées, c’est la conjonction de plusieurs facteurs qui explique la grande fréquence de cette fracture : outre la fragilité osseuse, le risque de chute est majoré par de nombreuses causes liées à la dégradation de leur état général (troubles neurologiques, visuels, pathologies diverses qui s’accompagnent de malaises, problèmes d’équilibre, perte de force musculaire), ou simplement par maladresse : des seniors valides peuvent tomber dans la rue (faux pas, pied dans un trou, glissade…), ou se prendre les pieds dans la laisse de leur chien… ou dans le tapis placé au pied de leur lit. .... L’origine d’une chute peut être aussi médicamenteuse. De nombreux cas sont ainsi observés chez des patients qui sont tombés en se levant  la nuit, sans allumer la lumière, après avoir pris un somnifère.

Rarement, des factures du col du fémur peuvent survenir sans chute mais lors de la marche chez des personnes atteintes d’une ostéoporose très sévère (fracture de fatigue). 

Quelques conseils de prévention

Outre d’adapter son domicile pour éliminer les objets au sol susceptibles de provoquer une chute, le premier conseil est de rester actif. Il est ainsi recommandé de marcher tous les jours, ce qui permet de renforcer sa structure osseuse (calcification) et de conserver une bonne qualité musculaire. Pour la même raison, il est important d’avoir un bon équilibre alimentaire avec des apports suffisants en protéines et en calcium. Après la ménopause, les femmes doivent également faire surveiller leur minéralisation osseuse à l’aide d’examens (voir l’article consacré à l’ostéoporose) et, en cas de carence minérale, prendre en traitement approprié.

Une situation d’urgence

Dans la majorité des cas, le patient victime d’une fracture du col du fémur a une impotence fonctionnelle totale : il ne parvient pas à se relever ni à marcher. Il ressent une douleur très vive au niveau de la hanche (pli de l’aine). On note le plus souvent un raccourcissement et une déformation du membre inférieur, le pied reposant sur le sol par son bord externe. Une hospitalisation en urgence est nécessaire pour confirmer le diagnostic par des radiographies.

Dans le cas de certaines fractures cervicales vraies dans lesquelles le col s’encastre dans la tête du fémur, sans se décrocher, la douleur est moindre. Mais si le patient se plaint d’avoir mal à la hanche, il ne doit surtout pas se relever, au risque que la fracture se complète dans les heures ou les jours suivants. Un bilan radiologique immédiat dans un service d’urgences hospitalières est là aussi indispensable.  

Une chirurgie systématique et deux types d’intervention

Le seul traitement possible d’une fracture du col du fémur est l’intervention chirurgicale. Celle-ci est systématique sauf en cas de contrindication majeure chez certains patients dont l’état de santé est très dégradé (moins de 1 cas pour 100). L’intervention doit être réalisée très rapidement après l’accident pour donner au patient les meilleures chances de récupération.

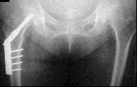
  • Les fractures de la région trochantérienne sont le plus souvent stabilisées par ostéosynthèse (pose de vis et de plaques ou d’une vis solidaire d’un clou) mais peuvent être aussi traitées, plus rarement, par une prothèse, dans certains cas.
Image
vis plaque
Image
clou gamma

Vis-plaque

Clou Gamma

  • Les fractures cervicales vraies sont fixées par ostéosynthèse (vis ou vis-plaque) chez les patients jeunes alors que la pose d’une prothèse est privilégiée pour les personnes âgées. Celle-ci peut être partielle (tête et col du fémur) ou totale (hanche) notamment quand le patient souffre d’arthrose.
Image
vis plaque
Image
prothèse partielle
Image
prothèse totale hanche

Vis-plaque

prothèse partielle

prothèse totale

 

L’objectif de l’intervention chez le patient âgé est de lui permettre de se lever avec appui  sur ses deux pieds (à l’aide de deux cannes anglaises) le plus vite possible. En effet, la marche en sautant sur un seul pied est très difficile (voire impossible) à partir d’un certain âge. C’est pourquoi, le chirurgien devra réaliser un montage solide permettant l’appui immédiat.

Les complications précoces (infection du site opératoire, embolie pulmonaire...) sont rares mais graves ; les complications secondaires et tardives : pseudarthrose, (non-consolidation de la fracture),  ostéonécrose de la tête du fémur, descellement de prothèse…). Elles nécessitent le plus souvent une ré-intervention.

La complication la plus grave des fractures du col du fémur avec le grand âge est la dégradation progressive post-opératoire de l’état général avec décompensation des maladies préexistantes, de mauvais pronostic.

Dans les cas rares où le patient ne peut pas être opéré pour des raisons médicales interdisant par exemple toute anesthésie, un traitement non chirurgical peut être effectué (traction continue du membre fracturé) mais les complications liées au décubitus chez un patient déjà très fragile sont souvent gravissimes.

Après l’opération

La rééducation est indispensable après l’intervention. Sa durée varie selon l’âge du patient et sa capacité à récupérer. Elle débute dès le lendemain de l’opération dans le service de chirurgie orthopédique et traumatologique et consiste essentiellement à faire marcher le patient et à entretenir ses mobilités articulaires .

La rééducation sera souvent longue (trois semaines au moins) pour les patients âgés qui devront non seulement réapprendre à marcher mais aussi retrouver leur autonomie dans les gestes de la vie quotidienne (s’asseoir, se coucher, se lever de son lit, faire sa toilette…). D’où la nécessité, d’une prise en charge adaptée après le séjour en hôpital : soit par un kinésithérapeute à domicile dans le meilleur des cas, soit le plus souvent, dans un centre de convalescence ou un service de rééducation fonctionnelle.

La consolidation osseuse de la fracture est obtenue dans un délai de trois mois en moyenne, ce qui justifie un usage prolongé des cannes. En cas de prothèse, la hanche est immédiatement solide ce qui permet une récupération plus rapide.

À terme, le patient pourra de nouveau marcher, de préférence avec une canne pour éviter une nouvelle chute, sans toutefois retrouver le plus souvent l’agilité qu’il possédait auparavant. En effet, même en l’absence de complication, la fracture du col du fémur est souvent la source d’une perte partielle d’autonomie, chez les patients âgés. Après 80-85 ans, et pour les patients qui vivent seuls, la fracture du col du fémur constitue l’une des causes les plus fréquentes de l’entrée dans un EHPAD.

Par contre, un adulte jeune, rapidement autonome avec ses cannes anglaises, rentrera chez lui après un court séjour à l’hôpital et retrouvera ses capacités fonctionnelles une fois la fracture consolidée


 L’avenir de la prise en charge des fractures du col du fémur

Certains services de chirurgie orthopédique et traumatologique pionniers, comme celui du CHU de Grenoble, ont mis en place un parcours de soins spécifique pour les personnes âgées victimes d’une fracture du col du fémur. L’opération se déroule dès le jour ou lendemain de l’admission pour éviter les complications (escarres, douleurs…). Très rapidement, après les premières suites opératoires (trois jours environ), le patient est dirigé vers un centre spécialisé partenaire de géronto-rééducation où il est pris en charge par une équipe pluridisciplinaire. Outre de diminuer fortement le risque de complications post-opératoires, et d’améliorer la qualité de la récupération fonctionnelle, ce parcours est beaucoup moins coûteux qu’un long séjour en hôpital. De plus, il évitera à long terme le risque de saturation des services de chirurgie par une pathologie dont le nombre de cas sera à l’avenir de plus en plus élevé sous l’effet du vieillissement de la population.

 

  • Pour aller plus loin sur les nouvelles tendances de la prise en charge des patients âgés souffrant d’une fracture de la hanche,  voir l’article de l’article publié par la Haute Autorité de Santé (https://www.has-sante.fr/portail/jcms/c_2803118/fr/fracture-de-la-hanche-optimiser-la-prise-en-charge-des-patients-ages)

 

Cet article a été rédigé avec le concours du  Docteur Gérard Lecerf, chirurgien orthopédiste, membre de la SOFCOT et responsable du comité rédactionnel de la Société Française de Chirurgie de la Hanche et du Genou.